
直到今年,老张因为脚肿去医院,做了更全面的检查。结果让所有人大吃一惊:虽然他的血肌酐“正常”,但肾脏的滤过功能已经受损。

今天是#天下口腔健康日,
咱们请来了华西口腔群众,
聊聊拔牙那些事儿
你是不是一牙疼就念念“干脆拔了算了”?
长了智齿就急吼吼念念手术?

慢着!
群众说:
每一颗自然牙都是珍稀的“原装零件”,
能留则留才是王说念!
光控资本这些牙需要拔

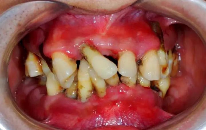
龋齿蛀得太深,细菌如故侵蚀到牙床,大致牙冠基本烂光,补牙、根管调理、牙套都无法支持。这种牙留着不仅没用,还可能成为“细菌窝”,激勉感染。


牙周病是牙齿的“隐形杀手”。当牙槽骨被炎症给与殆尽,牙齿松动得像风中的树叶,无法保留时。


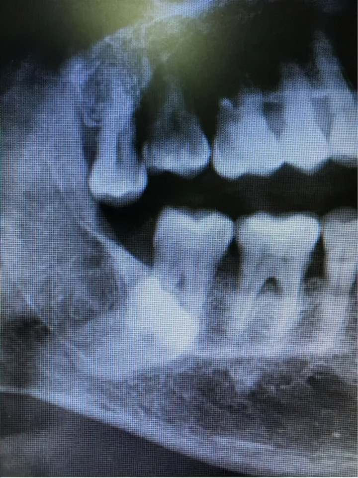
智齿长歪、长不出来(阻生)、动不动就发炎肿痛,以至如故把邻牙顶坏、导致邻牙龋齿的,以至有引起囊肿、肿瘤风险。这种智齿留着是“定时炸弹”


吃饭时倏得“嘎嘣”一声,牙齿咬裂了。淌若裂纹延迟到了牙床深处,任何设立体都兜不住它,反而会影响健康牙龈和骨头。

牙齿多、乱,挤占了正常牙的位置,导致咬合芜杂或清洁死角,这种牙留着有害有害。


换牙期,恒牙如故“破土而出”,对应的乳齿却迟迟不掉,占了位置。这种“钉子户”乳齿必须实时拔掉,给恒牙闪开。


牙齿太拥堵,需要腾出空间才智排皆。大夫进程精密测量后,为了全体的好意思不雅和咬合功能,拔掉某些功能次要的牙(往往是双尖牙),这叫“计谋性拔牙”。

有些牙自己看起来没大裂缝,但它可能激勉了囊肿、骨髓炎、脓肿,大致手脚病灶引起了身体其他部位的疾病(如心内膜炎)。

还有其他终点情况,经大夫评估后,与患者疏导明决定撤废的牙齿。
拔牙不是“说拔就拔”!
这些情况得严慎评估!
群众很是教导:不是悉数“该拔的牙”都能速即拔! 拔牙是手术,身体景况是第悉数门槛。
淌若你正处于以下状态,请务必先告诉大夫,山西配资门户评估后再决定:
高血压、腹黑病
尤其是近期发生过心肌梗死、心绞痛不褂讪的患者。
血液系统疾病:
如凝血功能不容、白血病等,拔牙可能导致大出血。
终点时分:
孕珠(尤其是前3个月和后3个月有流产或早产风险)、月信期(有代偿性出血风险)。
糖尿病抑遏欠安:
血糖过高,拔牙后创口难以愈合,极易感染。
正在放疗或服用抗骨给与药物:
需警惕“颌骨坏死”的风险。
肝肾功能很是:
可能导致术后出血,愈合欠安,以至全身感染。
其他有可能导致全身危急或愈合欠安的疾病或情况。
另外,有些拔牙手术有引起下唇麻痹,上颌窦口腔交通等风险,也需要评估风险和收益后再决定是否手术哟。
科学护牙
守住“原装牙”
确实的口腔健康,不是学会奈何拔牙,而是学会 “奈何不走到拔牙那一步”。辞天下口腔日,华西口腔科群众送你一份科学护牙指南:

诞妄的横向刷牙会导致楔状缺损,让牙床敏锐以至断掉。
正确作念法:
牙刷毛与牙面呈45度角,瞄准牙龈沟,小幅度水平震撼,每次刷2—3颗牙,里外面都要刷到。每天至少2次,每次3分钟。

牙刷只可刷到牙齿的60%名义,牙缝里的残渣是龋齿和牙周病的温床。每天至少使用一次牙线,计帐牙缝,远比饭后剔牙更科学。

牙结石是刷牙刷不掉的“水泥”,它是导致牙周病的元凶。
淡薄:
肤浅东说念主每半年到一年洗一次牙。洗牙不仅是为了干净,更是一次全面的口腔搜检,能发现早期龋齿和隐患。

不要用牙齿开瓶盖、撕包装、咬核桃。这些暴力行径极易导致牙齿劈裂,一朝裂到牙床,就只可面对拔牙的运说念。

发现黑线、冷热敏锐,飞快去看牙。补一颗牙只需几百块,拖到根管调理要几千,再拖到拔牙陶冶要上万。越早调理,牙齿留下的几率越大。
拔牙,
弥远是口腔调理的“终末选项”。
别我方乱判断,
也别听信网上偏方。
专科的事,交给专科的东说念主。

请记着:
任何设立体,
不管多贵或多传神,
都比不上您与生俱来、
用心保护的自然牙。
撰稿:四川大学华西口腔病院 口腔外科门诊 主任医师 刘济远
审核:四川大学华西口腔病院 口腔外科门诊(口腔颌面外科应承调理中心)主任 主任医师 潘剑投配宝配资
天元优配米牛配资纯旭配资悦来网配资万生优配启盈优配提示:文章来自网络,不代表本站观点。